Blog Archive
fblike
balacinema
Balaguris89
widgeonline dan amungonline kirteng
networkedblogs
iklan adsensecamp
Diagnosis Tuberkulosis Paru
Arifin Nawas
UPF Paru Bagian Pulmonologi Fakultas Kedokteran Universitas Indonesia
Rumah Sakit Persahabatan, Jakarta
UPF Paru Bagian Pulmonologi Fakultas Kedokteran Universitas Indonesia
Rumah Sakit Persahabatan, Jakarta
Tuberkulosis (TB) adalah suatu infeksi yang disebabkan oleh Mycobacterium tuberculosis, khas ditandai dengan terjadinya pembentukan granuloma dan nekrosis. Infeksi ini paling sering mengenai paru, akan tetapi dapat juga meluas mengenai organorgan tertentu.
Cara penularan TB paru dapat terjadi secara langsung melalui percikan dahak yang mengandung kuman TB, terisap oleh orang sehat melalui jalan napas dan kemudian berkembang biak di paru. Dapat juga terjadi secara tidak langsung bila dahak yang dibatukkan penderita ke lantai atau tanah kemudian mengering dan menyatu dengan debu, lalu beterbangan di udara; bila terisap orang sehat akan dapat menjadi sakit. Berdasarkan cara-cara penularan ini, TB paru juga dimasukkan dalam golongan airbone disease.
TB paru masih merupakan masalah kesehatan utama di negara sedang berkembang, termasuk Indonesia, di mana sebagian besar penduduknya hidup di pedesaan dengan derajat kesehatan yang masih rendah. Untuk Indonesia keadaan ini tercermin pada prevalensi TB paru dengan BTA (+) yang masih cukup tinggi yaitu 0,3 persen, berarti di antara 1000 orang penduduk Indonesia dapat dijumpai 3 orang penderita TB paru yang masih potensial menular. Di Indonesia TB paru merupakan penyebab kematian nomor empat setelah penyakit infeksi saluran napas bawah, diare dan penyakit jantung koroner.
Pada masa sebelum ditemukannya kemoterapi dan antibiotika TB paru merupakan salah satu penyakit yang ditakuti, karena pada masa itu dianggap sebagai penyakit yang tidak dapat disembuhkan dan dapat menyebabkan kecacatan seumur hidup. Saat ini dengan ditemukannya obat-obatan yang ampuh terhadap kuman TB dan kemajuan di bidang ilmu kedokteran, TB paru dapat disembuhkan. Berbagai upaya perlu dilakukan untuk menurunkan prevalensi TB paru ini, salah satu adalah usaha menemukan penderita yaitu dengan meningkatkan kemampuan menegakkan diagnosis, agar dapat diberikan obat anti tuberkulosis (OAT) yang tepat.
Dalam makalah ini akan dibicarakan usaha untuk menegakkan diagnosis TB paru dan sedikit dijelaskān tentang klasifikasi TB paru di Unit Pam RS Persahabatan Jakarta.
Infeksi primer terjadi sebagian besar pada anak-anak umur di atas 5 tahun. Sumber penularan berasal dari penderita yang mengeluarkan kuman, biasanya dengan kontak erat terus menerus.
Empat minggu setelah kuman TB masuk melalui saluran napas, akan terjadi fokus primer di paw, diikuti dengan pembesaran kelenjar getah bening hilus/regional. Fokus primer yang disertai dengan pembesaran kelenjar getah bening regional dikenal dengan kompleks primer.
Pada sebagian kecil anak akan menunjukkan gejala-gejala, akan tetapi kebanyakan tanpa gejala, uji tuberkulin menjadi positip. Kadang-kadang dapat terjadi pembesaran kelenjar getah bening yang hebat, sehingga menyebabkan paru kolaps disertai dengan penekanan pada bronkus dan hilus; fenomena ini disebut epituberkulosis; keadaan ini akan menimbulkan reaksi hipersensitif dari parenkim paru sehingga dapat terjadi kavitas atau efusi pleura.
Penyebaran infeksi TB dapat melalui:
Infeksi post primer diartikan terjadinya TB paru setelah beberapa saat mendapatkan infeksi primer dan telah timbul reaksi hipersensitivitas. Dalam hal ini termasuk kasus-kasus reinfeksi atau reaktivasi dari infeksi yang terjadi beberapa tahun kemudian.
Reaktivasi cenderung terjadi pada usia produktif, biasanya berkisar di antara 15-40 tahun. Salah satu faktor yang menyebabkan terjadinya reaktivasi ini adalah gangguan pada sistem imunologik tubuh.
Tuberkulosis post primer biasanya paling sering terletak pada segmen apikal lobus atas maupun lobus bawah.
Gambaran Klinik
Path TB paru gambaran klinik dapat dibagi atas: gejala sistemik (umum) dan gejala respiratorik (paru).
1) Gejala sistemik (umum), berupa:
a) Demam
Salah satu keluhan pertama penderita TB paru adalah demam
seperti gejala influenza. Biasanya demam dirasakan pada malam hari disertai dengan keringat malam, kadang-kadang suhu badan dapat mencapai 40°-41°C. Serangan seperti influenza ini bersifat hilang timbul, dimana ada masa pulih diikuti dengan serangan berikutnya setelah 3 bulan, 6 bulan, 9 bulan (dikatakan sebagai multiplikasi 3 bulan). Rasmin mengatakannya sebagai serangan influenza yang melompat-lompat dengan masa tidak sakit semakin pendek dan masa serangan semakin panjang.
b) Gejala yang tidak spesifik
TB paru adalah peradangan yang bersifat kronik, dapat ditemukan rasa tidak enak badan (malaise), nafsu makan berkurang yang menyebabkan penurunan berat badan, sakit kepala dan badan pegal-pegal. Pada wanita kadang-kadang dapat dijumpai gangguan siklus haid.
2) Gejala respiratorik (paru)
a) Batuk
Pada awal teljadinya penyakit, kuman akan berkembang biak di jaringan paru; batuk baru akan terjadi bila bronkus telah terlibat. Batuk merupakan akibat dari terangsangnya bronkus, bersifat iritatif. Kemudian akibat terjadinya peradangan, batuk berubah menjadi produktifkarena diperlukan untuk.membuang produk-produk ekskresi dari peradangan. Sputum dapat bersifat mukoid atau purulen.
b) Batuk darah
Terjadi akibat pecahnya pembuluh darah; berat atau ringannya batuk darah tergantung dari besarnya pembuluh darah yang pecah.
Gejala batuk darah ini tidak selalu terjadi pada setiap TB paru, kadang-kadang merupakan suatu tanda perluasan proses TB paru. Batuk darah tidak selalu ada sangkut pautnya dengan terdapatnya kavitas pada paru.
c) Sesak napas
Sesak napas akan terjadi akibat luasnya kerusakan jaringan paru, didapatkan pada penyakit paru yang sudah lanjut. Sedangkan pada penyakit yang baru tidak akan dijumpai gejala ini.
d) Nyeri dada
Biasanya terjadi bila sistem saraf terkena, dapat bersifat lokal atau pleuritik.
Pemeriksaan Jasmani
Secara umum pemeriksaan jasmani paru menggambarkan keadaan struktural jaringan paru, pemeriksaan ini tidak memberikan keterangan apa penyebab penyakit paru tersebut. Namun demikian mungkin ada beberapa hal yang dapat dipakai sebagai pegangan pada TB paru yaitu lokasi dan kelainan struktural yang terjadi. Pada penyakit yang lanjut mungkin dapat dijumpai berbagai kombinasi kelainan seperti konsolidasi, fibrosis, kolaps atau efusi.
Gambaran Foto Toraks
Pemeriksaan foto toraks standar untuk menilai kelainan pada paru ialah foto toraks PA dan lateral, sedangkan foto top lordotik, oblik, tomogram dan floroskopi dikerjakan atas indikasi. Crofton mengemukakan beberapa karakteristik radiologik pada TB paru:
Rasmin menyatakan bahwa gambaran radiologik TB paru tidak memperlihatkan hanya satu bentuk sarang saja, akan tetapi dapat terlihat berbagai bentuk sarang secara bersamaan sekali gus yang merupakan bentuk khas TB paru. Adapun bentuk sarang yang dijumpai pada kelainan radiologik adalah: sarang dini/sarang minimal, kavitas non sklerotik, kavitas sklerotik, keadaan penyebaran penyakit yang sudah lanjut.
Kelainan radiologik foto toraks hendaklah dinilai secara teliti, karena TB paru dapat memberikan semua bentuk abnormal pada pemeriksaan radiologik dan dikenal dengan istilah "great imitator".
Pemeriksaan Basil Tahan Asam
Penemuan basil tahan asam (BTA) dalam sputum, mempunyai arti yang sangat penting dalam menegakkan diagnosis TB paru, namun kadang-kadang tidak mudah untuk menemukan BTA tersebut. BTA barn dapat ditemukan dalam sputum, bila bronkus sudah terlibat, sehingga sekret yang dikeluarkan melalui bronkus akan mengandung BTA.
Pemeriksaan mikroskopik langsung dengan BTA (—), bukan berarti tidak ditemukan Mycobacterium tuberculosis sebagai penyebab, dalam hal penting sekali peranan hasil biakan kuman. Faktor-faktor yang dapat menyebabkan basil bakteriologik negatip adalah:
Pemeriksaan Uji Tuberkulin
Pemeriksaan uji tuberkulin merupakan prosedur diagnostik paling penting pada TB paru anak, kadang-kadang merupakan satu-satunya bukti adanya infeksi Mycobacterium tuberculosis.
Sedangkan pada orang dewasa, terutama di daerah dengan prevalensi TB paru masih tinggi seperti Indonesia sensitivitasnya rendah. Hal ini sesuai dengan penelitian Handoko dkk terhadap penderita TB paru dewasa yang menyimpulkan bahwa reaksi uji tuberkulin tidak mempunyai arti diagnostik, hanya sebagai alat bantu .diagnostik saja, sehingga uji tuberkulin ini jarang dipakai untuk diagnosis kecuali pada keadaan tertentu, di mana sukar untuk menegakkan diagnosis.
Pemeriksaan Laboratorium Penunjang
Pemeriksaan laboratorium rutin yang dapat menunjang untuk mendiagnosis TB paru dan kadang-kadang juga dapat untuk mengikuti perjalanan penyakit yaitu:
Dalam keadaan regresi/menyembuh, leukosit kembali normal dengan limfosit nilainya lebih tinggi dari nilai normal, laju endap darah akan menurun kembali.
1) Hasil pemeriksaan bakteriologik
- kavitas (+ )/(—).
3) Keadaan klinis penderita
1) TB paru
2) Bekas TB paru
3) TB paru tersangka.
TB Paru
Mencakup semua kasus TB paru aktif, prosedur diagnostik sudah lengkap; semua kasus yang sedang dalam penyelesaian pengobatan, walaupun M/B (—) dan penderita-penderita dengan M/B (—), setelah pengobatan OAT jelas ada perbaikan klinis maupun radiologik.
Bekas TB Paru
Mencakup penderita dengan — M/B (—), — Rō (—) atau Rd (+), stabil pada seri foto, — Klinis (—), mungkin ada riwayat TB yang lampau dan — pengobatan (—), adekuat, tidak adekuat, atau tidak teratur.
TB Paru Tersangka
Mencakup penderita yang: — M (—)/B belum ada basil atau belum diperiksa, — Rō (+) dengan kavitas (+) atau (—), - klinis (+) dan — pengobatan (—) atau (+).
Penderita yang masuk dalam kelas ini, semua pemeriksaan diagnostik hams dilaksanakan, paling lambat dalam 3 bulan harus sudah dapat ditentukan sebagai TB paru/bekas TB paru. Selama dalam upaya diagnostik penderita TB paru tersangka, dibagi 2 golongan:
a) diobati:
— Rō dan klinis sangat berat menjurus pada TB paru.
— penderita dengan tanda-tanda komplikasi seperti: batuk darah, efusi pleura, DM yang tak terkontrol, dsb.
b) tidak diobati:
Penderita dengan Rō dan klinis tidak kuat menjurus pada TB paru.
Cara penularan TB paru dapat terjadi secara langsung melalui percikan dahak yang mengandung kuman TB, terisap oleh orang sehat melalui jalan napas dan kemudian berkembang biak di paru. Dapat juga terjadi secara tidak langsung bila dahak yang dibatukkan penderita ke lantai atau tanah kemudian mengering dan menyatu dengan debu, lalu beterbangan di udara; bila terisap orang sehat akan dapat menjadi sakit. Berdasarkan cara-cara penularan ini, TB paru juga dimasukkan dalam golongan airbone disease.
TB paru masih merupakan masalah kesehatan utama di negara sedang berkembang, termasuk Indonesia, di mana sebagian besar penduduknya hidup di pedesaan dengan derajat kesehatan yang masih rendah. Untuk Indonesia keadaan ini tercermin pada prevalensi TB paru dengan BTA (+) yang masih cukup tinggi yaitu 0,3 persen, berarti di antara 1000 orang penduduk Indonesia dapat dijumpai 3 orang penderita TB paru yang masih potensial menular. Di Indonesia TB paru merupakan penyebab kematian nomor empat setelah penyakit infeksi saluran napas bawah, diare dan penyakit jantung koroner.
Pada masa sebelum ditemukannya kemoterapi dan antibiotika TB paru merupakan salah satu penyakit yang ditakuti, karena pada masa itu dianggap sebagai penyakit yang tidak dapat disembuhkan dan dapat menyebabkan kecacatan seumur hidup. Saat ini dengan ditemukannya obat-obatan yang ampuh terhadap kuman TB dan kemajuan di bidang ilmu kedokteran, TB paru dapat disembuhkan. Berbagai upaya perlu dilakukan untuk menurunkan prevalensi TB paru ini, salah satu adalah usaha menemukan penderita yaitu dengan meningkatkan kemampuan menegakkan diagnosis, agar dapat diberikan obat anti tuberkulosis (OAT) yang tepat.
Dalam makalah ini akan dibicarakan usaha untuk menegakkan diagnosis TB paru dan sedikit dijelaskān tentang klasifikasi TB paru di Unit Pam RS Persahabatan Jakarta.
Perkembangan Alamiah TB Paru
1) Tuberkulosis PrimerInfeksi primer terjadi sebagian besar pada anak-anak umur di atas 5 tahun. Sumber penularan berasal dari penderita yang mengeluarkan kuman, biasanya dengan kontak erat terus menerus.
Empat minggu setelah kuman TB masuk melalui saluran napas, akan terjadi fokus primer di paw, diikuti dengan pembesaran kelenjar getah bening hilus/regional. Fokus primer yang disertai dengan pembesaran kelenjar getah bening regional dikenal dengan kompleks primer.
Pada sebagian kecil anak akan menunjukkan gejala-gejala, akan tetapi kebanyakan tanpa gejala, uji tuberkulin menjadi positip. Kadang-kadang dapat terjadi pembesaran kelenjar getah bening yang hebat, sehingga menyebabkan paru kolaps disertai dengan penekanan pada bronkus dan hilus; fenomena ini disebut epituberkulosis; keadaan ini akan menimbulkan reaksi hipersensitif dari parenkim paru sehingga dapat terjadi kavitas atau efusi pleura.
Penyebaran infeksi TB dapat melalui:
- Percabangan bronkus, menyebar ke paru yang lain, taring, dan juga dapat ke saluran cerna.
- Sistem limfe, menyebabkan limfadenopati regional atau secara tak langsung melalui duktus limfatikus masuk ke dalam darah, menimbulkan penyebaran miller.
- Aliran darah, pembuluh balik pulmoner dapat membawa bahan-bahan yang infektif, menyebar jauh terutama ke tulang, ginjal, kelenjar adrenal, otak dan selaput otak.
Infeksi post primer diartikan terjadinya TB paru setelah beberapa saat mendapatkan infeksi primer dan telah timbul reaksi hipersensitivitas. Dalam hal ini termasuk kasus-kasus reinfeksi atau reaktivasi dari infeksi yang terjadi beberapa tahun kemudian.
Reaktivasi cenderung terjadi pada usia produktif, biasanya berkisar di antara 15-40 tahun. Salah satu faktor yang menyebabkan terjadinya reaktivasi ini adalah gangguan pada sistem imunologik tubuh.
Tuberkulosis post primer biasanya paling sering terletak pada segmen apikal lobus atas maupun lobus bawah.
Diagnosis
Untuk menegakkan diagnosis TB paru, perlu diketahui tentang: gambaran klinik, pemeriksaan jasmani, gambatan foto toraks, pemeriksaan basil tahan asam, pemeriksaan uji tuberkulin dan pemeriksaan laboratorium penunjang.Gambaran Klinik
Path TB paru gambaran klinik dapat dibagi atas: gejala sistemik (umum) dan gejala respiratorik (paru).
1) Gejala sistemik (umum), berupa:
a) Demam
Salah satu keluhan pertama penderita TB paru adalah demam
Gambar 1. Perkembangan alamiah TB Paru
seperti gejala influenza. Biasanya demam dirasakan pada malam hari disertai dengan keringat malam, kadang-kadang suhu badan dapat mencapai 40°-41°C. Serangan seperti influenza ini bersifat hilang timbul, dimana ada masa pulih diikuti dengan serangan berikutnya setelah 3 bulan, 6 bulan, 9 bulan (dikatakan sebagai multiplikasi 3 bulan). Rasmin mengatakannya sebagai serangan influenza yang melompat-lompat dengan masa tidak sakit semakin pendek dan masa serangan semakin panjang.
b) Gejala yang tidak spesifik
TB paru adalah peradangan yang bersifat kronik, dapat ditemukan rasa tidak enak badan (malaise), nafsu makan berkurang yang menyebabkan penurunan berat badan, sakit kepala dan badan pegal-pegal. Pada wanita kadang-kadang dapat dijumpai gangguan siklus haid.
2) Gejala respiratorik (paru)
a) Batuk
Pada awal teljadinya penyakit, kuman akan berkembang biak di jaringan paru; batuk baru akan terjadi bila bronkus telah terlibat. Batuk merupakan akibat dari terangsangnya bronkus, bersifat iritatif. Kemudian akibat terjadinya peradangan, batuk berubah menjadi produktifkarena diperlukan untuk.membuang produk-produk ekskresi dari peradangan. Sputum dapat bersifat mukoid atau purulen.
b) Batuk darah
Terjadi akibat pecahnya pembuluh darah; berat atau ringannya batuk darah tergantung dari besarnya pembuluh darah yang pecah.
Gejala batuk darah ini tidak selalu terjadi pada setiap TB paru, kadang-kadang merupakan suatu tanda perluasan proses TB paru. Batuk darah tidak selalu ada sangkut pautnya dengan terdapatnya kavitas pada paru.
c) Sesak napas
Sesak napas akan terjadi akibat luasnya kerusakan jaringan paru, didapatkan pada penyakit paru yang sudah lanjut. Sedangkan pada penyakit yang baru tidak akan dijumpai gejala ini.
d) Nyeri dada
Biasanya terjadi bila sistem saraf terkena, dapat bersifat lokal atau pleuritik.
Pemeriksaan Jasmani
Secara umum pemeriksaan jasmani paru menggambarkan keadaan struktural jaringan paru, pemeriksaan ini tidak memberikan keterangan apa penyebab penyakit paru tersebut. Namun demikian mungkin ada beberapa hal yang dapat dipakai sebagai pegangan pada TB paru yaitu lokasi dan kelainan struktural yang terjadi. Pada penyakit yang lanjut mungkin dapat dijumpai berbagai kombinasi kelainan seperti konsolidasi, fibrosis, kolaps atau efusi.
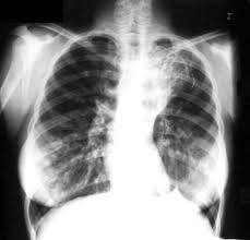
Gambaran Foto Toraks
Pemeriksaan foto toraks standar untuk menilai kelainan pada paru ialah foto toraks PA dan lateral, sedangkan foto top lordotik, oblik, tomogram dan floroskopi dikerjakan atas indikasi. Crofton mengemukakan beberapa karakteristik radiologik pada TB paru:
- Bayangan lesi terutama pada lapangan atas paru
- Bayangan berawan atau berbercak
- Terdapat kavitas tunggal atau banyak
- Terdapat kalsifikasi
- Lesi bilateral terutama bila terdapt pada lapangan alas paru
- Bayangan abnormal menetap pada foto toraks ulang setelah beberapa minggu.
Rasmin menyatakan bahwa gambaran radiologik TB paru tidak memperlihatkan hanya satu bentuk sarang saja, akan tetapi dapat terlihat berbagai bentuk sarang secara bersamaan sekali gus yang merupakan bentuk khas TB paru. Adapun bentuk sarang yang dijumpai pada kelainan radiologik adalah: sarang dini/sarang minimal, kavitas non sklerotik, kavitas sklerotik, keadaan penyebaran penyakit yang sudah lanjut.
Kelainan radiologik foto toraks hendaklah dinilai secara teliti, karena TB paru dapat memberikan semua bentuk abnormal pada pemeriksaan radiologik dan dikenal dengan istilah "great imitator".
Pemeriksaan Basil Tahan Asam
Penemuan basil tahan asam (BTA) dalam sputum, mempunyai arti yang sangat penting dalam menegakkan diagnosis TB paru, namun kadang-kadang tidak mudah untuk menemukan BTA tersebut. BTA barn dapat ditemukan dalam sputum, bila bronkus sudah terlibat, sehingga sekret yang dikeluarkan melalui bronkus akan mengandung BTA.
Pemeriksaan mikroskopik langsung dengan BTA (—), bukan berarti tidak ditemukan Mycobacterium tuberculosis sebagai penyebab, dalam hal penting sekali peranan hasil biakan kuman. Faktor-faktor yang dapat menyebabkan basil bakteriologik negatip adalah:
- belum terlibatnya bronkus dalam proses penyakit, terutama pada awal sakit,
- terlalu sedikitnya kuman di dalam sputum akibat dari cara pengambilan bahan yang tidak adekuat,
- cara pemeriksaan bahan yang tidak adekuat,
- pengaruh pengobatan dengan OAT, terutama rifampisin.
Pemeriksaan Uji Tuberkulin
Pemeriksaan uji tuberkulin merupakan prosedur diagnostik paling penting pada TB paru anak, kadang-kadang merupakan satu-satunya bukti adanya infeksi Mycobacterium tuberculosis.
Sedangkan pada orang dewasa, terutama di daerah dengan prevalensi TB paru masih tinggi seperti Indonesia sensitivitasnya rendah. Hal ini sesuai dengan penelitian Handoko dkk terhadap penderita TB paru dewasa yang menyimpulkan bahwa reaksi uji tuberkulin tidak mempunyai arti diagnostik, hanya sebagai alat bantu .diagnostik saja, sehingga uji tuberkulin ini jarang dipakai untuk diagnosis kecuali pada keadaan tertentu, di mana sukar untuk menegakkan diagnosis.
Pemeriksaan Laboratorium Penunjang
Pemeriksaan laboratorium rutin yang dapat menunjang untuk mendiagnosis TB paru dan kadang-kadang juga dapat untuk mengikuti perjalanan penyakit yaitu:
- laju endap darah (LED)
- jumlah leukosit
- hitung jenis leukosit.
Dalam keadaan regresi/menyembuh, leukosit kembali normal dengan limfosit nilainya lebih tinggi dari nilai normal, laju endap darah akan menurun kembali.
Klasifikasi TB Paru
Sudah sejak beberapa tahun belakangan ini Unit Pam RS Persahabatan Jakarta telah menerapkan klasifikasi TB paru. Tujuan membuat klasifikasi ini untuk mendapatkan keseeragaman dalam diagnosis, pengobatan maupun catatan medik, sehingga dapat diikuti oleh tim pelayanan kesehatan manapun. Ciri-ciri klasifikasi ini adalah:- Menekankan diagnosis yang tepat.
- Memberikan informasi yang lebih tepat dalam menilai prognosis.
- Memberikan informasi yang diperlukan untuk suatu tindakan pengobatan.
- Dapat dipergunakan sebagai pegangan bagi tim pelayanankesehatan masyarakat dalam tindakan pencegahan, usaha mengobati penderita, maupun penentuan seorang penderita tidak perlu diberi pengobatan lagi.
- Memberikan laporan yang praktis dan seragam.
1) Hasil pemeriksaan bakteriologik
- pemeriksaan mikroskopik langsung (M).
- basil biakan (B).
- radiologik (Rō) +: yang dianggap relevan untuk TB paru.
- radiologik (Rō) -: yang dianggap tidak relevan untuk TB paru.
- kavitas (+ )/(—).
3) Keadaan klinis penderita
- klinis (+ ): tanda-tanda yang dianggap relevan untuk TB paru
- klinis (—): tanda-tanda yang dianggap tidak relevan untuk TB paru
- sejak kapan mendapat pengobatan.
- sejak kapan selesai pengobatan.
- pengobatan adekuat/tidak.
- belum pernah mendapat pengobatan.
1) TB paru
2) Bekas TB paru
3) TB paru tersangka.
TB Paru
Mencakup semua kasus TB paru aktif, prosedur diagnostik sudah lengkap; semua kasus yang sedang dalam penyelesaian pengobatan, walaupun M/B (—) dan penderita-penderita dengan M/B (—), setelah pengobatan OAT jelas ada perbaikan klinis maupun radiologik.
Bekas TB Paru
Mencakup penderita dengan — M/B (—), — Rō (—) atau Rd (+), stabil pada seri foto, — Klinis (—), mungkin ada riwayat TB yang lampau dan — pengobatan (—), adekuat, tidak adekuat, atau tidak teratur.
TB Paru Tersangka
Mencakup penderita yang: — M (—)/B belum ada basil atau belum diperiksa, — Rō (+) dengan kavitas (+) atau (—), - klinis (+) dan — pengobatan (—) atau (+).
Penderita yang masuk dalam kelas ini, semua pemeriksaan diagnostik hams dilaksanakan, paling lambat dalam 3 bulan harus sudah dapat ditentukan sebagai TB paru/bekas TB paru. Selama dalam upaya diagnostik penderita TB paru tersangka, dibagi 2 golongan:
a) diobati:
— Rō dan klinis sangat berat menjurus pada TB paru.
— penderita dengan tanda-tanda komplikasi seperti: batuk darah, efusi pleura, DM yang tak terkontrol, dsb.
b) tidak diobati:
Penderita dengan Rō dan klinis tidak kuat menjurus pada TB paru.
Kesimpulan
- Dalam rangka menemukan penderita TB paru, sangat diperlukan cara menegakkan diagnosis.
- Klasifikasi TB paru merupakan suatu upaya untuk menegakkan diagnosis yang tepat dan penatalaksanaan yang lebih baik pada penderita TB paru.
- Brewis RAL. Lecture notes on respiratory diseases, 2nd ed,Oxford: Blackwell Scientific Publication, 1983; 100-12.
- Crofton Y, Douglas A. Respiratory diseases 2nd ed. Oxford: Blackwell Scientific Publication, 1975; 232.
- Handoko T. Gambaran uji tuberkulin pads penduduk yang berdomisili di sekitar pabrik semen, Skripsi, Jakarta: Bagian Pulmonologi FKUI, 84.
- American Thoracic Society. Diagnostics standards and classification of tuberculosis and other mycobactenial diseases (14th edition). Am Rev Resp Dis 1981; 123: 343-58.
- Rasmin R. Diagnostik dan klasifikasi Tuberkulosis para. Dalam Simposium pengobatan mutakhir tuberkulosis paru. Editor: Farid M, Menaldi R, Jakarta: IDPI cabang Jakarta 1987; 1-9.
- Fraser RG, Pare YAP. Diagnosis of diseases of the chest 2nd ed. Philadelphia: WB Saunders, 1978; 731.
Artikel Lainnya
Label
Ageing
(1)
Alergi
(4)
Asma bronkial
(2)
Bedah
(6)
Bedah Digestif
(2)
Cardiology
(1)
COPD
(1)
Dermato Venerology
(9)
Diabetes Melitus
(4)
Emergency
(3)
Farmakologi
(1)
Fisiologi
(1)
GCS
(1)
Generals
(33)
GIT Tract
(8)
Herbal
(1)
Imunologi
(2)
Infertilitas
(1)
Infos
(2)
Interna
(31)
Jurnal Kedokteran
(34)
Kelainan Genetik
(1)
Masalah Pria
(1)
Masalah Wanita
(1)
Mentalic
(1)
Mineral
(1)
Neurology
(6)
Neurology - Penyakit Saraf
(6)
Nutrisi dan Gizi
(2)
Obstetri dan Ginekologi
(3)
Pediatri
(5)
Pengobatan dan Obat-obatan Alternatif
(1)
Penis
(2)
Penyakit Jantung dan Pembuluh Darah
(1)
Penyakit Kulit dan Kelamin
(1)
Penyakit Menular
(6)
Praktis
(8)
Pulmonologi
(7)
Radiologi
(1)
Request
(1)
research
(1)
Rumah Sakit
(1)
Sinusitis
(1)
Suplemen makanan
(2)
TBC - Tuberculosis Paru
(4)
Terapi
(1)
THT
(3)
Trauma Kepala
(1)
Tropical Disease
(1)
Urologi
(1)
Vagina
(1)
Vitamin
(1)
